Projects/Structural/2007 Project Week Nonrigid Groupwise Registration
From NAMIC Wiki
Home < Projects < Structural < 2007 Project Week Nonrigid Groupwise Registration
Return to Project Week Main Page
| |||||||
Key Investigators
- MIT: Serdar K Balci, Polina Golland, Lilla Zollei, Sandy Wells
- Kitware: Luis Ibanez
Objective
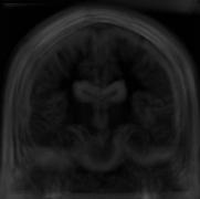
We extended a previously demonstrated entropy based groupwise registration method to include a free-form deformation model based on B-splines.
The objective in groupwise registration is to bring subjects in a population into joint alignment in order to establish correspondences among anatomical structures.
Approach, Plan
- Implement a non-rigid groupwise registration method
- Joint alignment of images
- Minimize sum of univariate entropies
- Efficient implementation using multi-threaded classes.
- B-splines as the non-rigid deformation model
- Optimize ITK's B-Spline implementation by computing jacobian field locally
- Extended ITK's pairwise registration framework to groupwise registration
- To compare groupwise registration to pairwise approaches
- Implement a template based method where every subject is registered to the mean image using sum of squared differences.
Progress
Our project is already implemented in ITK, in this workshop we achieved to
- Submit the project to ITK's Namic SANDBOX repositories link to code
- Provide test cases using ITK's Brainweb data link to data
- Submit test results to the dashboard
- Make modifications to the source code for memory efficiency
- Build a package for Insight Journal submission (in progress)




