Projects:AblationScarSegmentation

From NAMIC Wiki
Jump to: navigation, search
Home < Projects:AblationScarSegmentation
Back to NA-MIC Collaborations, MIT Algorithms,

Cardiac ablation scar segmentation

Atrial fibrillation is one of the most common heart conditions and can have very serious consequences such as stroke and heart failure. A technique called catheter radio-frequency (RF) ablation has recently emerged as a treatment. It involves burning the cardiac tissue that is responsible for the fibrillation. Even though this technique has been shown to work fairly well on atrial fibrillation patients, repeat procedures are often needed to fully correct the condition because surgeons lack the necessary tools to quickly evaluate the success of the procedure.

We propose a method to automatically segment the scar created by RF ablation in delayed enhancement MR images acquired after the procedure. This will provide surgeons with a visualization showing the size, shape and location of the scar, which is information central to evaluating the outcome of the procedure.

Description

We work with two types of images for each patient: MR angiography (MRA) images where the blood pool has a higher intensity than surrounding tissue and post-procedure delayed enhancement MR images (DE-MRI) where a contrast agent has been injected into the patient to enhance the ablation scar. Our approach is to first segment the left atrium in the MRA images using the label fusion algorithm described in [1]. We then transfer this segmentation to the DE-MRI image of the same patient by registering the two images.

Since the ablation scar we are trying to segment is known to be located on the left atrium myocardium, we use this spatial prior information to reduce the search space for the ablation scar to only a small vicinity of the left atrium surface. This avoids many false positives caused by the noise in the DE-MRI images. We will be exploring different segmentation methods in this ongoing work.

Results

Here we present results we have obtained for one subject using our methods. In the following images, we show the left atrium segmentation in the MRA image as an outline in one slice as well as a 3D model.

Mdepa MRA seg.png Mdepa MRA seg 3D.png


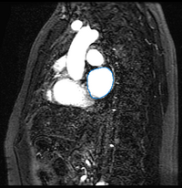
We then align the MRA and DE-MRI images of the same patient, which allows us to transfer the left atrium segmentation using the resulting deformation field. This is shown in the following figures.

Mdepa MRA MDE registration.png Mdepa MDE la segmentation.png


Finally, we show some preliminary results of our cardiac ablation scar segmentation obtained using this spatial prior knowledge and intensity thresholding. The figure on the right also shows an expert manual segmentation of the scar alongside our result.

Mdepa MDE scar segmentation.png Mdepa MDE scar seg 3D.png

Literature

[1] Nonparametric Mixture Models for Supervised Image Parcellation, M.R. Sabuncu, B.T.T. Yeo, K. Van Leemput, B. Fischl, and P. Golland. PMMIA Workshop at MICCAI 2009.

Key Investigators

  • BWH: Ehud Schmidt and Ron Kikinis

Publications

NA-MIC Publications Database on Left Atrium Segmentation