Projects:RegistrationLibrary:RegLib C03

From NAMIC Wiki
Jump to: navigation, search
Home < Projects:RegistrationLibrary:RegLib C03

Back to ARRA main page
Back to Registration main page
Back to Registration Use-case Inventory

updated for v4.1 Slicer4 RegLibLogo.png
Slicer Registration Library Case #3: Diffusion Weighted Image Volume: align with structural reference MRI

Input

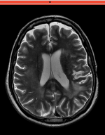
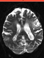
this is the fixed T2 reference image. All images are aligned into this space lleft this is the DTI Baseline scan, to be registered with the T2 this is the DTI tensor image, in the same orientation as the DTI Baseline
fixed image/target
T2
moving image 2a
DTI baseline
moving image 2b
DTI tensor

Objective / Background

Goal is to align the DTI image with the structural reference T2 scan that provides accuracte anatomical reference.

Slicer 4.1 Modules Used

Alternate Versions

Download

Procedure

This assumes you have the following: 1) a T2 reference image, 2) a DTI baseline image and 3) the DTI volume (both obtained from the Diffusion Tensor Estimation module).

  • Image Data:
  • Overview:
  1. Using General Registraion (BRAINS), register DTI_baseline to T2 (affine+nonrigid) w/o masking
  1. Resample the DTI with above transform with the Resample DTI Volume module
  1. open Registration : General Registration (BRAINS) module
    1. Input Images: fixed = T2 , moving = DTI_base
    2. Output Settings:
      1. Slicer BSpline Transform (create new transform, rename to: "Xf1_DTbase-T2_BSpline")
      2. Slicer Linear Transform none
      3. Output Image Volume (create new volume, rename to: "DTIbaseline_Xf1"
    3. Registration Phases: select/check Rigid , Rigid+Scale, Affine, BSpline
    4. Main Parameters:
      1. increase Number Of Samples to 200,000
      2. set B-Spline Grid Size to 5,5,5
    5. Leave all other settings at default
    6. click: Apply; runtime < 1 min.
  2. Resample DTI
  3. Open the Resample DTI Volume module (found under: All Modules)
    1. Input Volume: select DTI
    2. Output Volume: select create new Diffusion Tensor Volume,and rename it to DTI_Xf1
    3. Reference Volume: select T2
    4. Transform Parameters: select transform node "Xf1_DTI-T2_BSpline", for Deformation Field: none ; check the displacement checkbox
    5. Leave all other settings at defaults
    6. Click Apply; runtime ~ 2 min.
  4. set T2 as background and new DTI_Xf1 volume as foreground
  5. fade between back- and foreground to see DTI overlay onto the T2 image. Note that you can also fade via holding the OPTION+CMD keys (mac) + dragging left mouse.

Registration Results (click to enlarge)

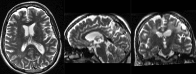
RegLib C03 baseline unregistered.gif
RegLib C03 baseline registered.gif
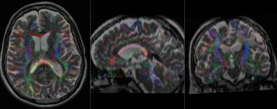
RegLib C03 DTI registered.gif
baseline & T2 before registration baseline to T2 after affine+nonrigid alignment DTI and T2 before & after registration

Keywords

MRI, brain, head, intra-subject, DTI, DWI

Discussion: Key Strategies

  • the strong EPI-based distortions of the DTI image make nonrigid registration necessary
  • initial alignment & overlap is sufficient so that no "initialization" methods are necessary and registration can succeed without.
  • contrast & initial pose are similar enough for registration to succeed without any masking. However the DTI estimation procedure does provide an optional mask that is usually very helpful in registering cases with more "distracting" image content. For an example see the extended version of this case here.
  • the DTI in this example is isotropic and hence can be resampled directly. If the DTI contains strong anisotropy of ratios 1:3 or greater, reorienting the DTI can lead to strong artifacts (e.g. in axial direction appear as blue cast in the color orientation view). In that case it is necessary to resample the DWI in the original orientation to an isotropic size before reorienting. It may also be advisable to first reorient the DWI and perform the DTI estimation afterwards.

Acknowledgments