Projects:RegistrationLibrary:RegLib C27

From NAMIC Wiki
Jump to: navigation, search
Home < Projects:RegistrationLibrary:RegLib C27

Back to ARRA main page
Back to Registration main page
Back to Registration Use-case Inventory

updated for v4.1 Slicer4 RegLibLogo.png
Slicer Registration Library Exampe #27: Diffusion Weighted Image Volume: align with structural reference MRI

Input

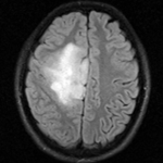
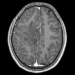
this is the fixed T2 reference image. All images are aligned into this space this is the fixed T2 reference image. All images are aligned into this space lleft this is the DTI Baseline scan, to be registered with the T2 this is the DTI tensor image, in the same orientation as the DTI Baseline
fixed image/target
T1
fixed image/target
FLAIR
moving image 2a
DTI baseline
moving image 2b
DTI tensor


Objective / Background

This is a typical example of DTI processing. Goal is to align the DTI image with a structural scan that provides accuracte anatomical reference. The DTI contains acquisition-related distortion and insufficient contrast to discern anatomical detail. For treatment planning and evaluation, location of functionally critical fiber tracts relative to the pathology is sought.

Keywords

MRI, brain, head, intra-subject, DTI, DWI

Input Data

  • reference/fixed : T1 axial, 0.98 x 0.98 x 1 , 192 x 256 x 176
  • reference/fixed : FLAIR axial, 0.4mm resolution in plane, 4mm slices, 448 x 512 x 30
  • moving: Baseline image of acquired DTI volume, corresponds to T2w MRI , 1.96 x 1.96 x 3 mm voxel size, oblique, 128 x 128 x 40
  • moving: Tensor data of DTI volume, oblique, same orientation as Baseline image. The result Xform will be applied to this volume. The original DWI has 64 directions, the extracted DTI volume has 9 scalars, i.e. 128 x 128 x 40 x 9

Overall Strategy

  1. Register FLAIR to T1 (affine) & resample
  2. Resample DWI to isotropic voxel size: use T1 as size reference
  3. Convert DWI -> DTI, incl. mask & baseline extraction
  4. Register DTI_baseline to FLAIR (affine+nonrigid) w/o masking
  5. Resample DTI with above transform

Procedures

  • Phase I: register FLAIR to T1
  1. open the General Registration (BRAINS) module
    1. Fixed Image Volume: T1
    2. Moving Image Volume: FLAIR
    3. Output Settings:
      1. Slicer BSpline Transform": none
      2. Slicer Linear Transform: create new transform, rename to "Xf1_FLAIR-T1"
      3. Output Image Volume: create new volume, rename to "FLAIR_Xf1"
    4. Regstration Phases: check boxes for Rigid and Affine
    5. Main Parameters:
      1. Number Of Samples: 200,000
    6. Leave all other settings at default
    7. click: Apply; runtime < 10 sec (MacPro QuadCore 2.4GHz)
  • Phase II: Resample DWI to isotropic voxel size
  1. go to ResampleScalarVectorDWIVolume module (All Modules menu)
    1. Input Volume: "DWI",
    2. Output Volume: "create new Diffusion Weighted Volume", rename to "DWI_iso"
    3. Reference Volume: T1
  2. Click: Apply
  3. save new DWI_iso to disk
  4. depending on RAM of your machine, consider deleting the original DWI node
  • Phase III: DWI -> DTI
  1. open "Diffusion Tensor Estimation" module (menu: Diffusion:DiffusionWeightedImages: DiffusionTensorEstimation)
    1. Input DWI Volume: DWI_iso,
    2. Output DTI Volume: create new, rename to "DTI_iso"
    3. Output Baseline Volume: create new, rename to "DWI_iso_baseline"
  2. Click: Apply
  • Phase IV: Register DTI (unmasked)
  1. open the General Registration (BRAINS) module
    1. Fixed Image Volume: FLAIR_Xf1
    2. Moving Image Volume: DWI_iso_baseline
    3. Output Settings:
      1. Slicer BSpline Transform": create new transform, rename to "Xf2_DTI-T1"
      2. Slicer Linear Transform: none
      3. Output Image Volume: create new volume, rename to DWI_iso_baseline_Xf2
    4. Regstration Phases: check boxes for Rigid, Affine and BSpline
    5. Main Parameters:
      1. Number Of Samples: 200,000
      2. B-Spline Grid Size: 5,5,3
    6. Leave all other settings at default
    7. click: Apply; runtime <1 min (MacPro QuadCore 2.4GHz)
  • Phase V: Resample DTI
  1. Open the Resample DTI Volume module (under All Modules menu; note this is distinct from the ResampleScalarVectorDWIVolume used above)
    1. Input Volume: DTI_iso
    2. Output Volume: create new DTI Volume, rename to DTI_iso_Xf2
    3. Reference Volume: T1
    4. Transform Node: select "Xf2_DTI-T1 created in phase 4 above
    5. check box: displacement
  2. leave all other settings at defaults
  3. Click Apply; runtime ~ 3 min.
  4. set T1 or FLAIR as background and the new DTI_Xf2 volume as foreground
  5. Move fade slider to see DTI overlay onto the structural image

Registration Results

DTI resampled to T1 DTI resampled to FLAIR

Download

Discussion: Registration Challenges

  • The DTI contains acquisition-related distortions (commonly EPI acquisitions) that can make automated registration difficult.
  • the two images often have strong differences in voxel sizes and voxel anisotropy. If the orientation of the highest resolution is not the same in both images, finding a good match can be difficult.
  • there is widespread and extensive pathology in the right hemisphere that might affect the registration if contrast is different between the baseline and structural reference scan.

Discussion: Key Strategies

  • because the pathology appears similar in the FLAIR as in the DTI baseline, we choose the FLAIR as reference
  • masking is likely necessary to obtain good results.
  • in this example the initial alignment of the two scans is pretty good already. No initial affine alignment is needed.
  • these two images are not too far apart initially, so we reduce the default of expected translational misalignment
  • because speed is not that critical, we increase the sampling rate from the default 2% to 15%.

Acknowledgments