Projects:RegistrationLibrary:RegLib C33

From NAMIC Wiki
Jump to: navigation, search
Home < Projects:RegistrationLibrary:RegLib C33

Back to ARRA main page
Back to Registration main page
Back to Registration Use-case Inventory

updated for v4.1 Slicer4 RegLibLogo.png
Slicer Registration Library Case #33: Diffusion Weighted Image Volume: align with structural reference MRI

Input

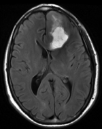
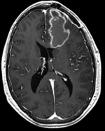
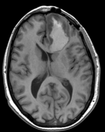
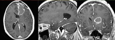
this is the fixed T1 reference image. All images are aligned into this space this is the FLAIR scan, to be registered with the T1 lleft this is the T1Gd image, serves as reference to which all others are aligned lleft this is the DTI tensor image, to be registered with the T1
fixed image/target
T1
moving image
FLAIR
moving image 2a
T1Gd
moving image 2b
DTI tensor

Slicer4 Modules used

Objective / Background

This is a typical example of DTI processing. Goal is to align the DTI image with a structural scan that provides accuracte anatomical reference. The DTI contains acquisition-related distortion and insufficient contrast to discern anatomical detail. For treatment planning and evaluation, location of functionally critical fiber tracts relative to the pathology is sought.

Keywords

MRI, brain, head, intra-subject, DTI, DWI

Download

Input Data

  • reference/fixed : T1 axial, 0.5 x 0.5 x 1 , 512 x 512 x 176
  • moving : FLAIR axial
  • moving : T1Gd axial
  • moving: Tensor data of DWI volume, 32 directions, 2.6 mm slice thickness

Overall Strategy

  • The best target for registering the DWI in terms of contrast is the FLAIR
  • however the FLAIR is low resolution. The T1 is very high in-plane resolution, which causes memory issues when trying to resample the DTI to that resolution. So we choose the T1Gd as the reference space and resolution (1x1x1 mm).
  • Thus the main strategy is:
  1. Obtain mask and baseline from DWI
  2. Compute DTI from DWI
  3. Register FLAIR and T1 to T1Gd (affine only) with masking (Affine)
  4. Register DWI_baseline to the resampled FLAIR (affine+nonrigid) (masking)
  5. Resample the DTI with above transform and the T1Gd as reference

For an alternative approach using Slicer 3.6 see here

Procedures

Procedures

  • Phase I: Preprocessing: Build DWI mask + baseline
  1. open the Modules:Diffusion:DiffusionWeightedImages:DiffusionWeightedVolumeMasking module
    1. Input DWI Volume: "DWI"
    2. Output Baseline Volume: Create New Volume, rename to "DWI_baseline"
    3. Output Threshold Mask: Create New Volume, rename to "DWI_mask"
    4. Leave other settings at default; click Apply
  • Phase II: Preprocessing: Convert DWI -> DTI
  1. open "Diffusion Tensor Estimation" module (menu: Diffusion:DiffusionWeightedImages: DiffusionTensorEstimation)
    1. Input DWI Volume: DWI_iso,
    2. Output DTI Volume: create new, rename to "DTI_iso"
    3. Output Baseline Volume: create new, rename to "DWI_iso_baseline"
  2. Click: Apply
  • Phase III: register FLAIR to T1Gd
  1. open the General Registration (BRAINS) module
    1. Fixed Image Volume: FLAIR
    2. Moving Image Volume: T1
    3. Output Settings:
      1. Slicer BSpline Transform: none
      2. Slicer Linear Transform: create new transform, rename to "Xf1_FLAIR-T1Gd_Affine"
      3. Output Image Volume: create new volume, rename to "FLAIR_Xf1"
    4. Registration Phases: check boxes for Affine only
    5. Main Parameters:
      1. Number Of Samples: 200,000
    6. Mask Option: select ROIAUTO button
      1. (ROIAUTO) Output fixed mask: create new volume
      2. (ROIAUTO) Output moving mask: create new volume
    7. Leave all other settings at default
    8. click: Apply
  • Phase IV: register T1 to T1Gd
  1. open the General Registration (BRAINS) module
    1. Fixed Image Volume: T1Gd
    2. Moving Image Volume: T1
    3. Output Settings:
      1. Slicer BSpline Transform: none
      2. Slicer Linear Transform: create new transform, rename to "Xf2_T1-T1Gd_Affine"
      3. Output Image Volume: create new volume, rename to "T1_Xf2"
    4. Registration Phases: check boxes for Affine only
    5. Main Parameters:
      1. Number Of Samples: 200,000
    6. Mask Option: select ROIAUTO button
      1. (ROIAUTO) Output fixed mask: create new volume
      2. (ROIAUTO) Output moving mask: create new volume
    7. Leave all other settings at default
    8. click: Apply
  • Phase V: Register DWI (masked)
  1. open the General Registration (BRAINS) module
    1. Fixed Image Volume: FLAIR_Xf1
    2. Moving Image Volume: DWI_baseline
    3. Output Settings:
      1. Slicer BSpline Transform": create new transform, rename to "Xf3_DWI-FLAIR"
      2. Slicer Linear Transform: none
      3. Output Image Volume: create new volume, rename to DWI_baseline_Xf2
    4. Regstration Phases: check boxes for Rigid, Affine and BSpline
    5. Main Parameters:
      1. Number Of Samples: 300,000
      2. B-Spline Grid Size: 7,7,5
    6. Mask Option: select ROI button
      1. ROI Masking input fixed: select " "FLAIR_mask_ROIauto" created in phase III above
      2. ROI Masking input moving: select "DWI_mask" created in phase I above
    7. Leave all other settings at default
    8. click: Apply; runtime 1-2 min (MacPro QuadCore 2.4GHz)
  • Phase V: Resample DTI
  1. Open the Resample DTI Volume module (under All Modules menu; note this is distinct from the ResampleScalarVectorDWIVolume used above)
    1. Input Volume: DTI
    2. Output Volume: create new DTI Volume, rename to DTI_Xf3
    3. Reference Volume: T1Gd
    4. Transform Node: select "Xf3_DTI-FLAIR" created above
    5. check box: displacement
  2. leave all other settings at defaults
  3. Click Apply; runtime ~ 3 min.
  4. set T1 or FLAIR as background and the new DTI_Xf2 volume as foreground
  5. Move fade slider to see DTI overlay onto the structural image

Registration Results

DTI aligned with T1Gd DTI aligned with T1Gd

DTI deformation applied (before/after registration DTI deformation applied (before/after registration


Discussion: Registration Challenges

  • The DTI contains acquisition-related distortions (commonly EPI acquisitions) that can make automated registration difficult.

Discussion: Key Strategies

Acknowledgments

This case is the same data as case 40 from the fMRI neurosurgery data set on central.xnat.org