Projects:RegistrationLibrary:RegLib C35

From NAMIC Wiki
Jump to: navigation, search
Home < Projects:RegistrationLibrary:RegLib C35

Back to ARRA main page
Back to Registration main page
Back to Registration Use-case Inventory

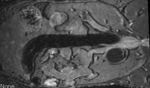
v3.6.1 Slicer3-6Announcement-v1.png Slicer Registration Library Case #35: Mouse Colon Brain MRI

Input

case A lleft case B
fixed image 1/target
MRI mouse 1
moving image
MRI mouse 2

Modules

Objective / Background

Aim is to register the two MRIs such that the colon aligns.

Download

Keywords

MRI, colon, mouse, masking, non-human, non-rigid,manual, unsolved

Input Data

  • reference/fixed MRI: 0.12 x 0.12 x 0.1 mm, 512 x 512 x 94
  • moving MRI: 0.09 x 0.09 x 0.1 mm, 512 x 512 x 94

Registration Challenges

  • The image content to be registered is less than 10% of the total image and of low energy (close to background);

histogram of image content: target structure (colon, red) is very small amount of total image energy, making intensity-based automated approach unlikely to succeed

  • there's large portions of the colon for which no matching/corresponding structures exist, i.e. a straightforward one-one mapping is not avail.
  • other landmarks (kidneys etc.) are very different in position and size

Key Strategies

  • This is a challenge case and currently unsolved. Best hopes are combinations of manual, fiducial and surface-based registration
  • Slicer 3.6.1 recommended modules:

Registration Results

very rough surface models of colon help visualize misalignment very rough surface models of colon help visualize misalignment
original unregistered original, not registered
after surface registration (rigid) + manual correction after surface registration (rigid) + manual correction