Projects:RegistrationLibrary:RegLib C47

From NAMIC Wiki
Jump to: navigation, search
Home < Projects:RegistrationLibrary:RegLib C47

Back to ARRA main page
Back to Registration main page
Back to Registration Use-case Inventory

updated for v4.1 Slicer4 RegLibLogo.png
Slicer Registration Library Case #47: Liver Tumor Cryoablation

Input

this is the intra-op CT reference image. All images are aligned into this space lleft this is the pre-op MRI we seek to align with the intra-op CT
fixed image/target moving image

Slicer4 Modules used

Objective / Background

We seek to align a pre-operative MRI with the intra-operative CT for surgical guidance.

Download

Keywords

MRI, CT, IGT, intra-operative, liver, cryoablation, change detection, non-rigid registration

Input Data

  • reference/fixed : pr-op CT, 0.95 x 0.95 x 5 mm voxel size
  • moving: intra-op MRI, 0.78 x 0.78 x 2.5 mm axial,

Discussion: Registration Challenges

Procedures

  • Phase I: MR-CTpre registration
  1. Following the concept of manual registration, we create an initial transform that roughly aligns the MR to the pre-op CT.
  2. open General Registraion (BRAINS) module
    1. Input Images
      1. Fixed Image Volume: CT_intraop
      2. Moving Image Volume: MRI_preop
    2. Output Settings:
      1. Slicer BSpline Transform: none
      2. Slicer Linear Transform: (create new transform, rename to: "Xf1_MRI-CT_Affine")
      3. Output Image Volume: none
    3. Registration Phases: select/check Rigid , Rigid+Scale, Affine
    4. Leave all other settings at default
    5. click: Apply
  3. switch to the Data module
    1. click on the "MRI_intra" node, and drag it onto the transform node "Xf1_MRI-CT_Affine" created above
  4. this should yield a rough alignment as shown in the result section below. We will use this to initialize a more refined nonrigid registration
  • Phase II: nonrigid registration
  1. open General Registraion (BRAINS)module
    1. Input Images:
      1. Fixed Image Volume: CT_intraop
      2. Moving Image Volume: MRI_preop
    2. Output Settings:
      1. Slicer BSpline Transform: (create new transform, rename to: "Xf2_MRI-CT_BSpline")
      2. Slicer Linear Transform: none
      3. Output Image Volume create new volume, rename to "MRI_Xf2"
    3. Initialization:
      1. Initialization transform: select "" created in phase 1 above
      2. Initialize Transform Mode: Off
    4. Registration Phases: select/check BSpline only
    5. Main Parameters:
      1. Number Of Samples: 200,000
      2. B-Spline Grid Size: 7,7,5
    6. Leave all other settings at default
    7. click: Apply

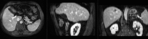
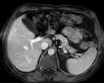
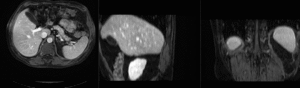
Registration Results (click to enlarge)

unregistered MRI & CT
unregistered MRI & CT
after linear (affine) registration
after linear (affine) registration
after nonrigid registration
after nonrigid registration
comparing kidney alignment at different registration stages
comparing kidney alignment at different registration stages


Acknowledgments

Thanks to Dr.Stuart Silverman and Dr. Nobuhiko Hata for sharing this case.