Projects:VentricleSegmentation

From NAMIC Wiki
Jump to: navigation, search
Home < Projects:VentricleSegmentation

Back to Stony Brook University Algorithms


Ventricles Segmentation

Extracting the myocardial wall of the left (LV) and right (RV) ventricles are important steps in the diagnosis of cardiac diseases. In this paper, we we propose an method for automatically extracting the ventricles from cardiac CT images, which integrates region growing with shape segmentation in a natural way. In this framework, the shape segmentation provides seed regions for region growing while the latter reconstructs a heart surface for shape decomposition.

Description

In the method, the left and right ventricles are located sequentially, in which each ventricle is detected by first identifying the endocardial surface and then segmenting the epicardial surface. To this end, the endocardial surfaces are localized using their geometric features obtained on-line from a CT image. After that, a variational region-growing model is employed to extract the epicaridal surfaces of the ventricles. In particular, the location of the endocardial surface of the left ventricle is determined using an active contour model on the blood-pool surface constructed via thresholding. To localize the right ventricle, the active contour model is performed on a heart surface extracted based on the left ventricle segmentation result.

  • FlowChartLRV.png

Flowchart of the ventricles segmentation framework.

Results

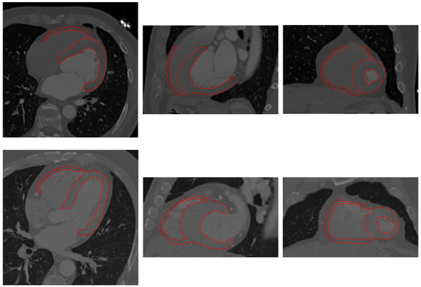
The proposed method has been tested using 30 human and 12 pig cardiac CT images. Examples of segmentation for human and pig data are shown below.

  • LRVWallShapeVar.png

Myocardium segmentation results of human data with significantly different heart shapes.

  • LRVWallVolVar.png

Myocardium segmentation results of pig data with different volume coverages.

Key Investigators

  • Georgia Tech: Liangjia Zhu and Anthony Yezzi
  • BWH: Yi Gao
  • Boston University: Allen Tannenbaum


Publication

L. Zhu, Y. Gao, V. Appia, A. Yezzi, C. Arepalli , A. Stillman, and A. Tannenbaum. Automatic Extraction of the Myocardial Wall from CT Images using Shape Segmentation and Variational Region Growing, IEEE Transaction on Biomedical Engineering(TBME), vol 60, no, 10, 2013.