Rhesus Juvenile WMGM Atlas

From NAMIC Wiki
Jump to: navigation, search
Home < Rhesus Juvenile WMGM Atlas

Objective:

  • Develop a juvenile WM/GM/CSF atlas from normal subject images.

Progress:

  • T1 subject images acquired
  • The atlas construction procedure was adapted from Automatic brain segmentation in rhesus monkeys; M. Styner, R. Knickmeyer, S. Joshi, C. Coe, S. J. Short, and J. Gilmore. Proc SPIE Vol 6512 Medical Imaging 2007, pp 65122L-1 - 65122L-8.

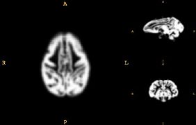
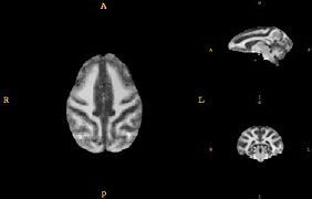
Images

Key Investigators:

  • Virginia Tech: Chris Wyatt and Xiaojing Long

Acknowledgement

  • Linda Porrino, Wake Forest University