SegmentationAidedRegistration
From NAMIC Wiki
Home < SegmentationAidedRegistration
Slicer Module
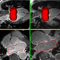
The registration is delivered as a Extension module for Slicer3. It can be installed from the Extension manager. Below in Figure R1 we show the GUI of the module. We need to feed the pre/post-MRI and pre/post-Endocardium images. The module then compute the registration from the post-op MRI to the pre-op MRI.
Module wiki page on Slicer wiki at: https://www.slicer.org/wiki/Documentation/Nightly/Modules/SegmentationAidedRegistration
Module icon
GUI and one case screenshot
References
- Y Gao, Y Rathi, S Bouix, A Tannenbaum; Filtering in the Diffeomorphism Group and the Registration of Point Sets; IEEE Transactions on Image Processing 21 (10), 4383--4396
- Y Gao, B Gholami, RS MacLeod, J Blauer, WM Haddad, A Tannenbaum; Segmentation of the Endocardial Wall of the Left Atrium using Local Region-Based Active Contours and Statistical Shape Learning. Proceedings of SPIE Medical Imaging 2010.
Key Investigators
- Brigham and Women's Hospital: Yi Gao, Sylvain Bouix
- University of Alabama at Birmingham: Liang-Jia Zhu, Allen Tannenbaum
- University of Utah: Josh Cates, Alan Morris, Danny Perry, Greg Gardner, Rob MacLeod
- Contact: Yi Gao gaoyi@bwh.harvard.edu