2010 Summer Project Week Multi scale Shape Based Segmentation for the Hippocampus

From NAMIC Wiki
Jump to: navigation, search
Home < 2010 Summer Project Week Multi scale Shape Based Segmentation for the Hippocampus

Key Investigators

  • Georgia Tech: Yi Gao, Allen Tannenbaum

Objective

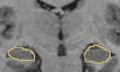
  • Segmentation of the hippocampus using a multi-scale shape based method.

Approach, Plan

We represent and learn the shape in a multi-scale method and then perform the segmentation of the hippocampus.

Progress

The code has been written and the method is being tested on multiple data sets.

  • The cxx code is called by python scripts to perform the learning and segmentation pipeline.
  • The method is tested, using the leave-one-out scheme, on the MR images (SPGR).


References