2013 Project Week:BRAINSFit new features

From NAMIC Wiki
Jump to: navigation, search
Home < 2013 Project Week:BRAINSFit new features

Key Investigators

  • BWH: Andrey Fedorov
  • Iowa: Hans Johnson, David Welch

Project Description

Objective

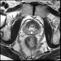
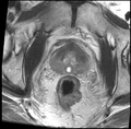
  • integrate, test and document new capabilities, which proved to be very helpful for prostate MRI registration, into BRAINSFit registration module

Approach, Plan

  • specific features include:
    • initializer based on the center of mask for the registration ROIs
    • initialization of the B-spline transform support region restricted to the bounding box of the ROIs union
    • ability to perform registration with only fixed ROI available

These features have been implemented earlier in a fork of ITK3-based BRAINSFit. We would like to merge these modifications with the main repository of BRAINS and test the capabilities with ITK4 on prostate MRI datasets.

Progress

  • all features that we intended to integrate were implemented and merged with the BRAINS main repository (https://github.com/BRAINSia/BRAINSStandAlone/pull/160)
    • in the process, several minor bugs were resolved
  • test added and is passing on BRAINS dashboard
  • Note: BRAINS is using ITK3 registration framework implemented in ITK4; it is currently not possible to evaluate the new registration framework of ITK4 with BRAINS
  • Testing on 10 clinical datasets was performed using BRAINS+ITK4
    • computation time is comparable with our in-house BRAINS implementation + ITK3
    • registration was successful in 8 out of 10 cases, based on visual inspection; further investigation is needed for the failed cases and larger scale validation

References