CardiacAgatstonScoring TutorialContestSummer2014
From NAMIC Wiki
Home < CardiacAgatstonScoring TutorialContestSummer2014
Cardiac Agatston Score Module Tutorial
Key Investigators
Jessica Forbes, Hans Johnson, University of Iowa
Project Description
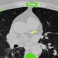
A semi-automated method to segment and identify calcium plaques in coronary arteries in order to calculate the Agatston score (a measurement used to determine coronary artery disease and treatment).
Material for the Slicer 4.3.1 Agatston Score Module, Project Week Summer 2014
File:CardiacAgatstonMeasures TutorialContestSummer2014.zip
File:TutorialContest CardiacAgatstonScoring 2014.pdf
| Tutorial Name | Platform | Slicer Version | Test Date | Author | Test results (Mantis Links if tests failed) |
| Cardiac Agatston Measures | Mac OS | 4.3.1-2014-06-05 | 2014-06-19 | Jessica Forbes | All tests passed |
| Cardiac Agatston Measures | Windows 7 64 bit | 4.3.1-2014-06-05 | 2014-06-23 | Jessica Forbes | All tests passed |
| Cardiac Agatston Measures | Linux 64 bit | 4.3.1-2014-06-05 | 2014-06-20 | Jessica Forbes | All tests passed |