Projects:RegistrationDocumentation:RegLib 12 LiverTumorAblation1

From NAMIC Wiki
Jump to: navigation, search
Home < Projects:RegistrationDocumentation:RegLib 12 LiverTumorAblation1

Back to ARRA main page
Back to Registration main page
Back to Registration Case Library

v3.6.3 Slicer3-6Announcement-v1.png Slicer Registration Library Case #12:
Intra-subject liver & kidney CT / MRI: preop-scan to intra-op scan

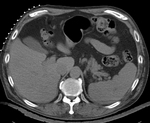
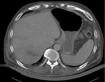
Input

this is the fixed reference image. All images are aligned into this space lleft this is the moving image. The transform is calculated by matching this to the reference image
fixed image/target moving image

Modules

Slicer 3.6.3 recommended modules:

Objective / Background

This is a typical case of image fusion from preop planning: we seek to align the preoperative MRI and CT (which have better tumor visibility) to the intra-operative CT.

Keywords

abdominal CT, abdominal MRI, liver, kidney, surgical planning, image fusion, tumor, nonrigid

Input Data

  • reference/fixed : intra-operative CT, 1x1x5 mm voxel size, 512x512x41, axial
  • moving 1: pre-operative MRI, 0.8x0.8x2.5 mm voxel size, 512x512x96, axial
  • moving 2: pre-operative contrast CT, 0.9x0.9x5 mm voxel size, 512x512x42, axial

Overall Strategy

  1. run rigid/affine registration (BRAINSfit) with initialization
  2. run 7x7x7 nonrigid registration (BRAINSfit BSpline) using the above affine as input

Procedures

  • Phase I: Register Rigid/Affine
  1. open Registration : BrainsFit module (presets: BRAINSfit_Xf1 or _Xf2
    1. Registration Phases:
      1. select/check Include Affine registration phase
      2. for affine also select/check Include Scale Versor 3D and Include Affine registration phase
    2. Registration Parameters: increase Number Of Samples to 200,000
      1. select a new transform "Linear Transform", rename to "Xf1_affine"
    3. Leave all other settings at default
  • Phase II: [optional]: generate skull mask
  1. open Skull Stripper for Structural MRI Module (Extension module)
  2. increase Iterations" to 200 and Subdivisions to 12
  3. both results will have to be edited manually using the Editor module.
  • Phase III: Register BSpline
  1. open Registration : BrainsFit module (presets: BRAINSfit_Xf3 or _Xf4
    1. select a new volume "Output Image Volume, rename to "DTI_base_Xf1"
    2. Registration Parameters: increase Number Of Samples to 200,000
    3. Registration Parameters: set Number Of Grid Subdivisions to 7x7x7
    4. Leave all other settings at default
    5. if using masks, set the Mask Processing Mode to "ROI" and select the two labelmaps generated in phase II as Input Masks

Registration Results

original unregistered
rigid registered affine registered
nonrigid registered (7x7x7 BSpline unmasked) nonrigid registered (7x7x7 BSpline masked)

Download