Projects:RegistrationLibrary:RegLib C15

From NAMIC Wiki
Jump to: navigation, search
Home < Projects:RegistrationLibrary:RegLib C15

Back to ARRA main page
Back to Registration main page
Back to Registration Use-case Inventory


v3.6.1 Slicer3-6Announcement-v1.png Slicer Registration Library Case #15:
Brain MR Alignment along AC-PC line

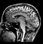
Input

this is the fixed reference image. All images are aligned into this space lleft this is the moving image. The transform is calculated by matching this to the reference image
fixed image/target moving image

Modules

Keywords

MRI, brain, head, anterior commissure, posterior commissure, AC-PC Line, Talairach, fiducial alignment

Input Data

  • moving: T1 MPRAGE 1x1x1 mm voxel size

Registration Challenges

  • A dedicated module for AC-PC alignment is used.
  • the only difficulty lies with accurate placement of the AC-PC fiducials. Depending on image resolution and contrast these can be difficult to find.
  • midline fiducials should be easily obtainable from axial and coronal views. 3 midline fiducials suffice; more is recommended for a more robust solution.

Key Strategies

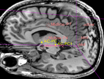
  • this is a special case of fiducial-based alignment. Instead of aligning two sets of fiducial pairs, only one set of fiducials is aligned with a predefined orientation: The plane defined by the midline fiducials is aligned to be vertical in coronal/axial views, and the line defined by the AC-PC line is rotated to be horizontal in a sagittal view.

Registration Results

original and aligned MRI

Download