Projects:RegistrationLibrary:RegLib C17

From NAMIC Wiki
Jump to: navigation, search
Home < Projects:RegistrationLibrary:RegLib C17

Back to ARRA main page
Back to Registration main page
Back to Registration Use-case Inventory


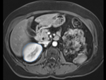
v3.6.3 This case is complete and up to date for version 3.6.3 Slicer Registration Library Case #17: Kidney pre-op MR to intra-op CT

Input

this is the fixed reference image. All images are aligned into this space lleft this is the moving image. The transform is calculated by matching this to the reference image
fixed image/target: intra-operative CT moving image: per-operative MRI

Modules

Keywords

CT, MRI, abdominal, image-guided therapy, IGT, tumor ablation

Input Data

  • fixed: intra-operative CT, oblique, 0.58 x 0.58 x 3 mm voxel size, dimensions 512 x 512 x 20
  • moving: opre-operative MRI lique, 1.2 x 1.2 x 4 mm voxel size, dimensions 320 x 240 x 64

Download

Registration Challenges

  • intra-operative CT is acquired with limited FOV and very oblique position
  • intra-operative CT contains artifacts from surgical needles
  • both datasets have strong voxel anisotropy
  • the region of interest (kidney) is small compared to the FOV, i.e. there is substantial "distracting" image content

Key Strategies

  • manual alignment to obtain initial pose
  • rough segmentation of both kidneys to mask "distracting" image content
  • gradual increase in registration DOF.

Procedures

  • Phase 1: obtain masks for kidney ROI
  1. Use the Draw tool in the Editor and/or use the Fast-Marching Segmentation module to obtain segmentations of the kidney in both CT and MR image. In the example dataset, you can find those segementations as files "Probe1CT_seg.nrrd" and "MRl_seg.nrrd"
  2. See the tutorials for the Editor and and segmentation methods for details on how to obtain an efficient segmentation.
  1. go to the Data module
  2. right click on the "Scene" mode and select Insert New Transform. In the MRML edit field below, rename it to "Xf0_manual" or similar
  3. In the Data module, drag the "MRI" image volume inside the"Xf0_manual" node
  4. Select the views so that the MR and CT volumes are displayed in the slice views
  5. Go to the Transforms module and adjust the translation and rotation sliders to adjust the current position. To get a finer degree of control, enter smaller numbers for the translation limits and enter rotation angles numerically in increments of a few degrees at a time
  • Phase 3: automated rigid/affine alignment
  1. Go to the BRAINSfit module
    1. select Presets "Xf1_Rigid" or "Xf2_Affine" or set the parameters as given below:
    2. fixed image: "Probe1CT", moving image: "MRI"
    3. Initialize with previous transform: select "Xf0_manual" from Phase 1 above
    4. Initialize Transform Mode: leave at default = OFF
    5. check Include Rigid registration Phase box. For affine also check ScaleVersor3D and Affine
    6. Output: under Slicer Linear Transform, select new and rename to "Xf1_Rigid" or "Xf2_Affine" or similar
    7. Registration Parameters: set "Number of Samples" to 100,000 at least
    8. Mask Processing: check ROI box, Input Fixed Mask select CT segmentation created in Phase 1 above. For Input Moving Mask select MRI segmentation created in Phase 1 above.
    9. Click Apply
  2. return to the Data module and drag the MRI inside/outside the different registration transforms to compare the alignment
  3. to obtain a resampled volume: move MRI inside Xform of choice and then right-click on the volume and select Harden Transforms. Save MRI under new name.

Registration Results

original unregistered original unregistered
after manual initial alignment after manual initial alignment
after rigid registration after rigid registration
after affine registration after affine registration