Projects:RegistrationLibrary:RegLib C20b

From NAMIC Wiki
Jump to: navigation, search
Home < Projects:RegistrationLibrary:RegLib C20b

Back to ARRA main page
Back to Registration main page
Back to Registration Use-case Inventory

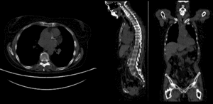
v3.6.3 This case is complete and up to date for version 3.6.3 Slicer Registration Library Case #20: Intra-subject whole-body PET-CT

Input

this is the fixed PET/CT image. All images are aligned into this space lleft this is the moving image. The transform is calculated by matching this to the reference image
fixed image/target moving image

Versions

For the Slicer 4.1 version of this case see here

Modules

Objective / Background

Change assessment.

Keywords

PET-CT, whole-body, change assessment

Input Data

  • reference/fixed : baseline CT: 0.98 x 0.98 x 5 mm , 512 x 512 x 149; PET: 4.1 x 4.1 x 5 mm , 168 x 168 x 149
  • moving: CT: 0.98 x 0.98 x 5 mm , 512 x 512 x 149; PET: 4.1 x 4.1 x 5 mm , 168 x 168 x 149

Download

Registration Results

rigidrigid
affine alignmentaffine alignment
BSpline registration of full volumes. 9 x 9 x 5 gridBSpline registration of full volumes. 9 x 9 x 5 grid
PET overlay ; BSpline registration of full volumes. 9 x 9 x 5 gridPET overlay ; BSpline registration of full volumes. 9 x 9 x 5 grid
BSpline registration of full volumes. 11 x 11 x 7 gridBSpline registration of full volumes. 11 x 11 x 7 grid
PET overlay ; BSpline registration of full volumes. 11 x 11 x 7 gridPET overlay ; BSpline registration of full volumes. 11 x 11 x 7 grid


Procedures

  • Phase 1: rigid alignment
  1. Go to the BRAINSfit module
    1. select Presets "Xf1_Rigid" or "Xf2_Affine" or set the parameters as given below:
    2. fixed image: "CT_1", moving image: "CT_2"
    3. Initialize with previous transform: select "Off"
    4. Initialize Transform Mode: check box for use MomentsAlign
    5. check Include Rigid registration Phase box.
    6. Output: under Slicer Linear Transform, select new and rename to "Xf1_Rigid" or similar
    7. Registration Parameters: set "Number of Samples" to 200,000 at least
    8. leave rest at defaults
    9. Click Apply
  2. return to the Data module and drag the CT_2 inside/outside the different registration transforms to compare the alignment
  • Phase 2: affine alignment
  1. Go to the BRAINSfit module
    1. same as Phase 1 above, except:
    2. Initialize with previous transform: select "Xf1_Rigid" from phase 1 above
    3. Initialize Transform Mode: check box for Off
    4. Output: under Slicer Linear Transform, select new and rename to "Xf2_Affine" or similar
  • Phase 3: BSpline alignment
    1. same as Phase 2 above, except:
    2. Initialize with previous transform: select "Xf2_Affine" from phase 2 above
    3. Output: under Slicer BSpline Transform, select new and rename to "Xf3_BSpline" or similar
    4. Output Image Volume: select new and rename to "CT_2_Xf3" or similar
    5. Registration Parameters: set "Number of Samples" to 250,000 at least
    6. Number of Grid Subdivisions: 9,9,5 or 11,11,7
    7. Click Apply
  1. return to the Data module and drag the CT_2 inside/outside the different registration transforms to compare the alignment
  2. to obtain a resampled volume: move CT_2 inside Xform of choice and then right-click on the volume and select Harden Transforms. Save MRI under new name.
  • Phase 4: Resample PET
  1. Go to the ResampleScalarVectorDWIVolume module
    1. Input Volume: PET_2 ; Reference Volume: PET_1 ; Output Volume: create new, rename to "PET_2_Xf3"
    2. Transform Node: select "Xf3_BSpline" created in phase 3 above
    3. Transform Order: check box for "output-to-input"
    4. Click Apply


Discussion: Registration Challenges

  • accuracy is the critical criterion here. We need the registration error (residual misalignment) to be smaller than the change we want to measure/detect. Agreement on what constitutes good alignment can therefore vary greatly.
  • because of the large FOV we have strong non-rigid deformations from differences in patient/limb positions etc.
  • images are large volumes (>100 MB total)
  • 2 images pairs have to be aligned, i.e. the calculated transform must be applied to the second (PET) image.

Discussion: Key Strategies

  • to calculate the transform, we use the images with the most accurate geometric representation and the smallest expected change, i.e. we align the follow-up CT to the baseline CT and then apply the transforms to the PET image.
  • because of the non-rigid differences due to posture and breathing we will need to apply a 2-step registration with an affine alignment followed by a BSpline.