Projects:RegistrationLibrary:RegLib C37

From NAMIC Wiki
Jump to: navigation, search
Home < Projects:RegistrationLibrary:RegLib C37

Back to ARRA main page
Back to Registration main page
Back to Registration Case Library

v3.6.1 Slicer3-6Announcement-v1.png Slicer Registration Library Case #37:
Intra-subject Brain MRI: T1 Tumor Growth / Resection Assessment

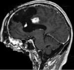
Input

this is the fixed reference image. All images are aligned into this space lleft this is the moving image. The transform is calculated by matching this to the reference image
fixed image/target moving image

Modules

Slicer 3.6.1 recommended modules:

Objective / Background

This is a typical case of change assessment.

Keywords

MRI, brain, head, intra-subject, T1, tumor, change assessment

Input Data

  • reference/fixed : T1 SPGR , 1x1x1 mm voxel size, 256x256x176 ,sagittal
  • moving: T1 SPGR , 1x1x1 mm voxel size, 256x256x176 ,sagittal

Overall Strategy

  1. run rigid/affine registration (BRAINSfit) with "CenterOfHeadAlign" initialization
  2. run 7x7x7 nonrigid regista=ration (BRAINSfit BSpline) using the above affine as input
  3. alternative: run skull stripper module on both images to generate masks for the nonrigid registration

Procedures

  • Phase I: Register Rigid/Affine
  1. open Registration : BrainsFit module (presets: BRAINSfit_Xf1 or _Xf2
    1. Registration Phases:
      1. select/check Include Affine registration phase
      2. for affine also select/check Include Scale Versor 3D and Include Affine registration phase
    2. Registration Parameters: increase Number Of Samples to 200,000
      1. select a new transform "Linear Transform", rename to "Xf1_affine"
    3. Leave all other settings at default
  • Phase II: [optional]: generate skull mask
  1. open Skull Stripper for Structural MRI Module (Extension module)
  2. increase Iterations" to 200 and Subdivisions to 12
  3. both results will have to be edited manually using the Editor module.
  • Phase III: Register BSpline
  1. open Registration : BrainsFit module (presets: BRAINSfit_Xf3 or _Xf4
    1. select a new volume "Output Image Volume, rename to "DTI_base_Xf1"
    2. Registration Parameters: increase Number Of Samples to 200,000
    3. Registration Parameters: set Number Of Grid Subdivisions to 7x7x7
    4. Leave all other settings at default
    5. if using masks, set the Mask Processing Mode to "ROI" and select the two labelmaps generated in phase II as Input Masks

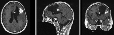
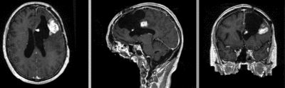
Registration Results

unregistered
original unregistered
rigid
affine
rigid registered affine registered
BSpline (7x7x7) unmasked
BSpline (7x7x7) masked
nonrigid registered (7x7x7 BSpline unmasked) nonrigid registered (7x7x7 BSpline masked)

Download