Projects:RegistrationLibrary:RegLib C42

From NAMIC Wiki
Jump to: navigation, search
Home < Projects:RegistrationLibrary:RegLib C42

Back to ARRA main page
Back to Registration main page
Back to Registration Case Library

v3.6.3 Slicer3-6Announcement-v1.png Slicer Registration Library Case #42:
Intra-subject Brain MRI: serial assessment of brain development in autism

Input

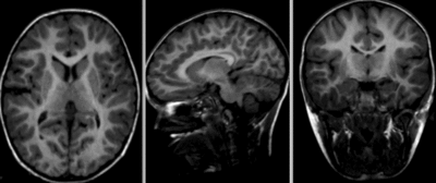
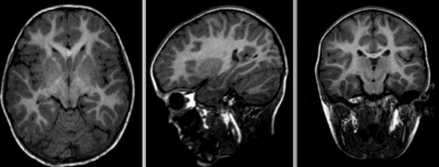
this is the fixed reference image. All images are aligned into this space lleft this is the moving image. The transform is calculated by matching this to the reference image
fixed image/target moving image

Modules

Slicer 3.6.3 recommended modules:

Objective / Background

This is a typical case of change assessment.

Keywords

MRI, brain, head, intra-subject, T1, tumor, change assessment, pediatric MRI

Input Data

  • reference/fixed : T1 SPGR , 1x1x1 mm voxel size, 256x256x192 ,sagittal
  • moving: T1 SPGR , 1x1x1 mm voxel size, 256x256x192 ,sagittal

Overall Strategy

  1. run rigid/affine registration (BRAINSfit) without initialization (initial positions are sufficiently close)
  2. run 5x5x5 nonrigid regista=ration (BRAINSfit BSpline) using the above affine as input

Procedures

  • Phase I: Register Rigid/Affine
  1. open Registration : BrainsFit module (presets: BRAINSfit_Xf1 or _Xf2
    1. Input Parameters:
      1. Fixed: "Autism_T1_2yrs"
      2. Moving: "Autism_T1_4yrs"
    2. Registration Phases:
      1. select/check Include Rigid registration phase , Include Scale Versor 3D , Include Affine, Include BSpline
    3. Output Settings
      1. select a new "Slicer BSpline Transform", rename to "Xf3_Affine+BSpline" or similar "
      2. select a new volume "Output Image Volume, rename to "Autism_T1_4yrs_Xf3", indicating that this is the result volume after being resampled with the Xf3 transform.
      3. Output Image Pixel Type: check "ushort". As a general rule, match the datatype of the input image, unless specific reason demands otherwise (e.g. you wish to avoid rounding of interpolation effects). The "float" datatype is 4-bytes per pixel and can produce unnecessary large files.
    4. Registration Parameters:
      1. increase Number Of Samples to 300,000
    5. Registration Parameters: set Number Of Grid Subdivisions to 5,5,5
    6. Leave all other settings at default
    7. click Apply

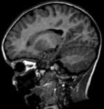
Registration Results

unregistered
original unregistered
rigid
affine
affine registered nonrigid registered (5,5,5 BSpline unmasked)
BSpline (7x7x7) unmasked
visualization of the nonrigid deformation component only

Download