Difference between revisions of "Algorithm:MIT"

From NAMIC Wiki
Jump to: navigation, search
Line 178: Line 178:
 
|-
 
|-
  
| | [[TGIt.jpg| 200px]]
+
| | [[Image:TGIt.gif| 200px]]
 
| |
 
| |
  

Revision as of 18:37, 23 April 2009

Home < Algorithm:MIT

Back to NA-MIC Algorithms

Overview of MIT Algorithms (PI: Polina Golland)

Our group seeks to model statistical variability of anatomy and function across subjects and between populations and to utilize computational models of such variability to improve predictions for individual subjects, as well as characterize populations. Our long-term goal is to develop methods for joint modeling of anatomy and function and to apply them in clinical and scientific studies. We work primarily with anatomical, DTI and fMRI images. We actively contribute implementations of our algorithms to the NAMIC-kit.

MIT Projects

CoordinateChart.png

Spherical Demons: Fast Surface Registration

We present the fast Spherical Demons algorithm for registering two spherical images. By exploiting spherical vector spline interpolation theory, we show that a large class of regularizers for the modified demons objective function can be efficiently approximated on the sphere using convolution. Based on the one parameter subgroups of diffeomorphisms, More...

New: B.T.T. Yeo, M. Sabuncu, T. Vercauteren, N. Ayache, B. Fischl, P. Golland. Spherical Demons: Fast Surface Registration. MICCAI, volume 5241 of LNCS, 745--753, 2008

Progress Registration Segmentation Shape.jpg

Shape Based Segmentation and Registration

This type of algorithm assigns a tissue type to each voxel in the volume. Incorporating prior shape information biases the label assignment towards contiguous regions that are consistent with the shape model. More...


JointRegSeg.png

Optimal Atlas Regularization in Image Segmentation

We propose a unified framework for computing atlases from manually labeled data sets at various degrees of “sharpness” and the joint registration and segmentation of a new brain with these atlases. Using this framework, we investigate the tradeoff between warp regularization and image fidelity, i.e. the smoothness of the new subject warp and the sharpness of the atlas in a segmentation application. More...

New: B.T.T. Yeo, M.R. Sabuncu, R. Desikan, B. Fischl, P. Golland. Effects of Registration Regularization and Atlas Sharpness on Segmentation Accuracy. Medical Image Analysis, 12(5):603--615, 2008.

ICluster templates.gif

Multimodal Atlas

In this work, we propose and investigate an algorithm that jointly co-registers a collection of images while computing multiple templates. The algorithm, called iCluster, is used to compute multiple atlases for a given population. More...

New: Image-driven Population Analysis through Mixture-Modeling, M.R. Sabuncu, S.K. Balci, M.E. Shenton and P. Golland. IEEE Transactions on Medical Imaging. Accepted for Publication, 2009.

GroupwiseSummary.PNG

Groupwise Registration

We extend a previously demonstrated entropy based groupwise registration method to include a free-form deformation model based on B-splines. We provide an efficient implementation using stochastic gradient descents in a multi-resolution setting. We demonstrate the method in application to a set of 50 MRI brain scans and compare the results to a pairwise approach using segmentation labels to evaluate the quality of alignment. More...


FoldingSpeedDetection.png

Shape Analysis With Overcomplete Wavelets

In this work, we extend the Euclidean wavelets to the sphere. The resulting over-complete spherical wavelets are invariant to the rotation of the spherical image parameterization. We apply the over-complete spherical wavelet to cortical folding development More...

New: B.T.T. Yeo, P. Yu, P.E. Grant, B. Fischl, P. Golland. Shape Analysis with Overcomplete Spherical Wavelets. Proceedings of the International Conference on Medical Image Computing and Computer Assisted Intervention (MICCAI), volume 5241 of LNCS, 468--476, 2008

B.T.T. Yeo, W. Ou, P. Golland. On the Construction of Invertible Filter Banks on the 2-Sphere. Yeo, Ou and Golland. IEEE Transactions on Image Processing. 17(3):283--300. 2008.

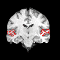
MITHippocampalSubfieldSegmentation.png

Model-Based Segmentation of Hippocampal Subfields in In Vivo MRI

In this project we develop and validate a method for fully automated segmentation of the subfields of the hippocampus in ultra-high resolution in vivo MRI. More...

New: K. Van Leemput, A. Bakkour, T. Benner, G. Wiggins, L.L. Wald, J. Augustinack, B.C. Dickerson, P. Golland, B. Fischl. Model-Based Segmentation of Hippocampal Subfields in Ultra-High Resolution In Vivo MRI. MICCAI 2008.

Mit fmri clustering parcellation2 xsub.png

fMRI clustering

In this project we study the application of model-based clustering algorithms in identification of functional connectivity in the brain. More...

New: D. Lashkari, E. Vul, N. Kanwisher, P. Golland. Discovering Structure in the Space of Activation Profiles in fMRI. MICCAI 2008.

MIT DTI JointSegReg atlas3D.jpg

Joint Registration and Segmentation of DWI Fiber Tractography

The goal of this work is to jointly register and cluster DWI fiber tracts obtained from a group of subjects. More...


Brain.png

DTI Fiber Clustering and Fiber-Based Analysis

The goal of this project is to provide structural description of the white matter architecture as a partition into coherent fiber bundles and clusters, and to use these bundles for quantitative measurement. More...


Models.jpg

Fiber Tract Modeling, Clustering, and Quantitative Analysis

The goal of this work is to model the shape of the fiber bundles and use this model description in clustering and statistical analysis of fiber tracts. More...

New:

Mahnaz Maddah, Marek Kubicki, William M. Wells, Carl-Fredrik Westin, Martha E. Shenton and W. Eric L. Grimson, Findings in Schizophrenia by Tract-Oriented DT-MRI Analysis. MICCAI 2008.

M. Maddah, L. Zollei, W. E. L. Grimson, W. M. Wells, Modeling of Anatomical Information in Clustering of White Matter Fiber Trajectories Using Dirichlet Distribution. MMBIA 2008.

M. Maddah, L. Zollei, W. E. L. Grimson, C-F Westin, W. M. Wells, A Mathematical Framework for Incorporating Anatomical Knowledge in DT-MRI Analysis. ISBI 2008.

FMRIEvaluationchart.jpg

fMRI Detection and Analysis

We are exploring algorithms for improved fMRI detection and interpretation by incorporting spatial priors and anatomical information to guide the detection. More...


Thalamus algo outline.png

DTI-based Segmentation

Unlike conventional MRI, DTI provides adequate contrast to segment the thalamic nuclei, which are gray matter structures. More...


ConnectivityMap.png

Stochastic Tractography

This work calculates posterior distributions of white matter fiber tract parameters given diffusion observations in a DWI volume. More...

HippocampalShapeDifferences.gif

Population Analysis of Anatomical Variability

Our goal is to develop mathematical approaches to modeling anatomical variability within and across populations using tools like local shape descriptors of specific regions of interest and global constellation descriptors of multiple ROI's. More...

TGIt.gif

Joint Segmentation of Image Ensembles via Latent Atlases

Spatial priors, such as probabilistic atlases, play an important role in MRI segmentation. The atlases are typically generated by averaging manual labels of aligned brain regions across different subjects. However, the availability of comprehensive, reliable and suitable manual segmentations is limited. We therefore propose a joint segmentation of corresponding, aligned structures in the entire population that does not require a probability atlas. More...

Expectation Maximization Segmentation of MRI Images

We develop an Expectation Maximization algorithm to segment MRI Images. More...