Projects:RegistrationDocumentation:UseCaseInventory:BrainIntraDTI
From NAMIC Wiki
Home < Projects:RegistrationDocumentation:UseCaseInventory:BrainIntraDTI
Case Inventory DTI
The most common task in Diffusion MRI registration is aligning an anatomical reference with the tensor data or fiber-tracts derived from DTI. Because the DTI is tensor data, applying a spatial transform to this image is not trivial. Hence a common approach is to align the anatomical reference (such as a T1 MRI) to the DTI image and thus avoid having to resample the tensor. This, however, preserves the strong distortions often present in the DTI image and makes anatomical referencing difficult.
Case 03: DWI alignment: align DTI volume with T2 structural reference scan
Case 03B: DWI alignment + preprocessing
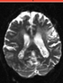
Case 27: DTI baseline to FLAIR/T1 pair, large pathol.
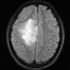
Case 29: DTI to T1 / Alignment of DTI and fMRI scan to structural reference T2/T1 pair for surgical planning (tumor resection)
Case 30: lowres & small FOV DTI to T1, no T2
Case 32: inverse direction: T1 to DTI
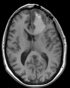
Case 33: DTI baseline to T1, incl. pathol.