Projects:RegistrationDocumentation:UseCaseInventory:Abdominal
From NAMIC Wiki
Home < Projects:RegistrationDocumentation:UseCaseInventory:Abdominal
Case Inventory Abdominal
Abdominal datasets commonly involve follow-up evaluation of a single organ. FOV is commonly such that other structures contribute signifcant portion to the image, making masking necessary.
Case 06: Breast MRI follow-up pre/post treatment with contrast enhancement and strong intensity inhomogeneity
Case 06-B: Breast MRI follow-up pre/post treatment LEFT SIDE ONLY; RSNA DEMO

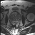
Case 07: Prostate MRI follow-up , FOV change and strong intensity inhomogeneity

Case 12: Liver tumor ablation #1: MRI to CT
Case 13: Liver tumor ablation #2: post-operative CT to pre-op CT & MRI-
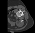
Case 17: Kidney tumor ablation intra-operative CT to pre-op MRI
Case 33: DTI baseline to T1, incl. pathol.
Case 46: RegLib 46: 2D Cine MRI of breathing cycle

Case 47: Liver tumor ablation #1b: MRI to CT